periodontics
Gum Rejuvenation
IN SA, AZ
- Valencia Dental Care - North Mesa
- (480)-219-1933
- Vista Dorada Dental - Gilbert
- (480)-963-9900
- Central Valley Dentistry - Mesa
- (480) 830-3344
- Ocotillo Trails Family Dentistry - San Tan Valley
- (480)-457-1977
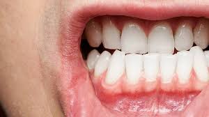
One of the signs of advancing periodontitis or gum disease is gum tissue receding from your teeth. This symptom is easy to spot as teeth roots will start showing. Treating gum disease can cure or minimize recession effects so that you don’t lose your teeth. Our dentist Dr. Khoshaba at U Smile Family Dentistry, can help revitalize your gums with a gum rejuvenation treatment.
Consequences of Receding Gums
Receding gums can cause your teeth to weaken, sensitivity to hot and cold foods and drinks, damage to tooth roots, or a loss of teeth altogether. Fortunately, our dentist in Mesa, AZ, has the knowledge and skills to save your teeth by saving your gum tissue.

Call our emergency line now for immediate dental care and pain relief

Rejuvenation Treatments
When you visit our offices, Dr. Khoshaba will examine your teeth and gums to determine the cause of your gum recession. After the examination, she will discuss the diagnosis and may recommend gum rejuvenation near you. Our dentist can use several techniques to help repair your gums, including frequent periodontal cleanings, laser treatments, or gum grafts for severe cases.
How Gum Grafts Work
Gum grafts to cover teeth roots are performed with a scalpel or laser. The traditional surgical technique requires the dentist to remove tissue from the roof of your mouth or nearby healthy gums. With this technique, healing times will be longer, and you may have more discomfort during your recovery. Using a laser to treat your gums will lessen your discomfort and allow you to heal faster.
After numbing your gums and cleaning your teeth, our dentist near you will use the Pinhole Surgical Technique to place a tiny hole, about 0.1 inches, above the teeth undergoing the treatment. A special instrument is then used to free the gums so that they are mobile. Once they are free, the gums are pushed down to their correct locations.
Another instrument will push collagen strips or gum grafting material through the pinholes to build-up the gums. Sutures may also go in place to keep the gums in position. If you notice that your gums are receding, make an appointment with Dr. Khoshaba to have her evaluate your mouth. She may recommend gum rejuvenation treatment in Mesa, AZ, to save and improve your smile.

Client Feedback:
Lu Dubbs2025-09-12Trustindex verifies that the original source of the review is Google. Wonderful staff very professional and thorough. Will definitely be going back Light2025-09-03Trustindex verifies that the original source of the review is Google. 2025-09-02 - Covered parking is available. This Dentistry has been kind, welcoming, clean, and professional. Dr. Tia and staff have been able to answer questions in a precise and easy-to-understand manner. If you're in immediate need of a dentist due to a dental emergency, either reach out to them over the phone, or show up during office hours to speak with a receptionist. If Dr. Tia is unavailable, someone else may be able to address your concerns. Take care of teeth and don't brush off your routine dentist cleanings. Rossana Rubio2025-07-02Trustindex verifies that the original source of the review is Google. I went in for my regular dental cleaning. And Dr. Tia Khoshaba was very nice and professional. And the staff, Maria and Alondra, were also very nice. They went above and beyond and answered all my questions. I had a great experience. nicole hill2025-06-21Trustindex verifies that the original source of the review is Google. Dr. Khoshaba is so kind and compassionate. She went above and beyond to help my daughter. I Highly recommend her! Clean fresh office and nice staff too! Jeff Knedlhans2025-06-20Trustindex verifies that the original source of the review is Google. I am a wimp when it comes to pain and Dr. Tia Khoshaba and staff really take care of you. No rushing and takes the time to explain everything. I am going for my 2nd implant now. Through out the whole procedure they are there for you. I highly recommend this dentist. Even the way the administrator there numbing shots are not bad. Evi Kiryandriani2025-06-20Trustindex verifies that the original source of the review is Google. Dr Tia is amazing dentist and all her staffs are great and so nice. Thank you for being so wonderful. Dr Tia cares very much to her patients, and her staffs are phenomenal. Thank you for taking good care of me. Deon Bidorini2025-06-17Trustindex verifies that the original source of the review is Google. I have always loved this practice! Now so more than ever!! Yesterday I called with what I deemed an emergency situation. They fit me in within an hour and were able to calm my fears and ease my mind!! No better dental practice!!! Adelaida2025-04-23Trustindex verifies that the original source of the review is Google. My experiences have been great. They reduced my fear of dental procedures.