Restorative
Composite Dental Fillings IN MESA, AZ
- Valencia Dental Care - North Mesa
- (480)-219-1933
- Vista Dorada Dental - Gilbert
- (480)-963-9900
- Central Valley Dentistry - Mesa
- (480) 830-3344
- Ocotillo Trails Family Dentistry - San Tan Valley
- (480)-457-1977
Although many people have never had a cavity thanks to dental sealants, dental decay is still the most common problem that dentists resolve. When a cavity needs filling, patients can choose between several materials. If you don’t want your fillings to show, you should consider composite fillings by our dentists at U Smile Family Dentistry in Mesa, AZ .
Why are Fillings Necessary?
To understand why dental fillings are needed, you should understand what a cavity is and what it can do to a tooth. A cavity is a hole in the enamel of a tooth created by dental decay. You may not realize you have a cavity until the hole exposes the tooth’s nerve, which can cause pain when consuming hot or cold foods or drinks.
Cavities can also cause teeth to ache, which signals that you should go to a dentist. Upon discovering the cavity, one of our dentists will remove the decay, which often means enlarging the hole in the enamel. Then, they will fill the hole to keep the decay from returning and restore your ability to use the tooth to chew and speak.

Call our emergency line now for immediate dental care and pain relief

Filling Materials
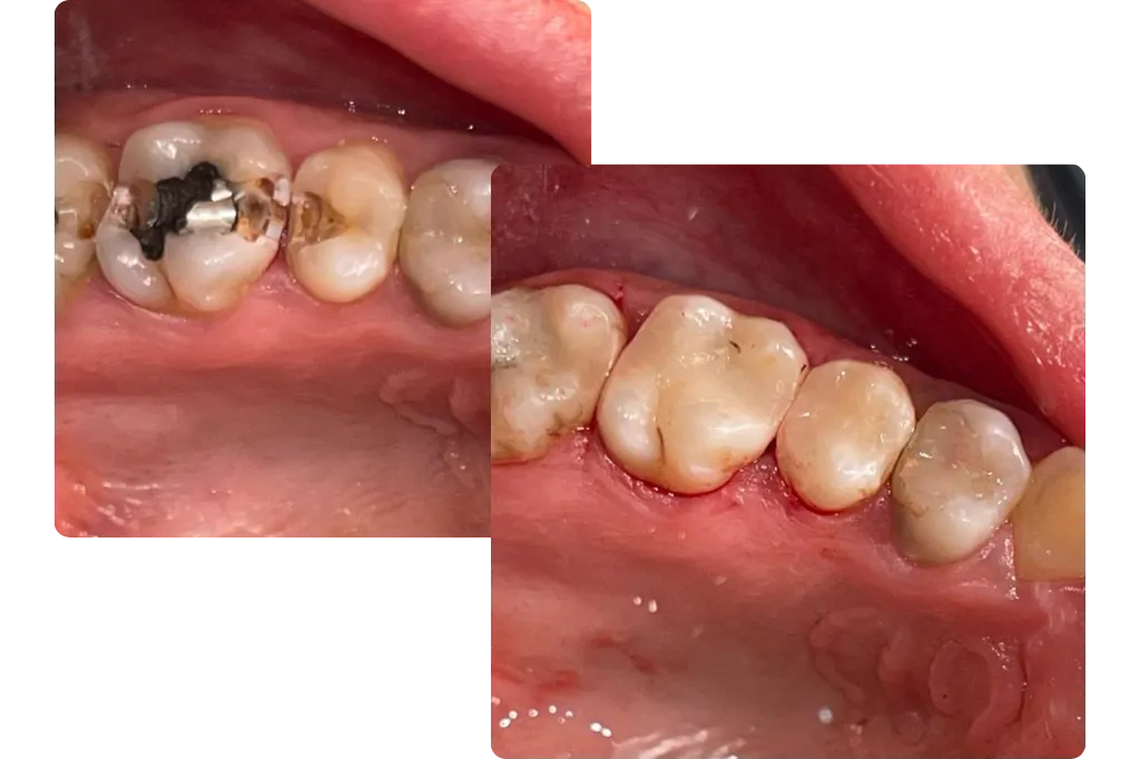
Our dentists at U Smile Family Dentistry give their patients in Mesa, AZ, several options for materials when filling cavities. However, if you are concerned about people seeing the dental work you have, then selecting composite fillings will not only protect your tooth, but many people will never see your fillings.The composite material that goes in the tooth is a combination of ceramic and plastic that produces a strong substance. The composite allows a tooth to bear up to 95 percent of the weight a natural tooth does, and it restores the patient’s ability to eat the foods they love. More people are choosing composite fillings because they blend in with natural teeth so well.Our dentists at U Smile Family Dentistry can match the composite color to the shade of your teeth. Not all teeth are perfectly white, so our dentists in Mesa, AZ, can add the tints necessary to match your teeth. If you’re interested in getting composite fillings, contact our offices for an appointment.
Client Feedback:
Lu Dubbs2025-09-12Trustindex verifies that the original source of the review is Google. Wonderful staff very professional and thorough. Will definitely be going back Light2025-09-03Trustindex verifies that the original source of the review is Google. 2025-09-02 - Covered parking is available. This Dentistry has been kind, welcoming, clean, and professional. Dr. Tia and staff have been able to answer questions in a precise and easy-to-understand manner. If you're in immediate need of a dentist due to a dental emergency, either reach out to them over the phone, or show up during office hours to speak with a receptionist. If Dr. Tia is unavailable, someone else may be able to address your concerns. Take care of teeth and don't brush off your routine dentist cleanings. Rossana Rubio2025-07-02Trustindex verifies that the original source of the review is Google. I went in for my regular dental cleaning. And Dr. Tia Khoshaba was very nice and professional. And the staff, Maria and Alondra, were also very nice. They went above and beyond and answered all my questions. I had a great experience. nicole hill2025-06-21Trustindex verifies that the original source of the review is Google. Dr. Khoshaba is so kind and compassionate. She went above and beyond to help my daughter. I Highly recommend her! Clean fresh office and nice staff too! Jeff Knedlhans2025-06-20Trustindex verifies that the original source of the review is Google. I am a wimp when it comes to pain and Dr. Tia Khoshaba and staff really take care of you. No rushing and takes the time to explain everything. I am going for my 2nd implant now. Through out the whole procedure they are there for you. I highly recommend this dentist. Even the way the administrator there numbing shots are not bad. Evi Kiryandriani2025-06-20Trustindex verifies that the original source of the review is Google. Dr Tia is amazing dentist and all her staffs are great and so nice. Thank you for being so wonderful. Dr Tia cares very much to her patients, and her staffs are phenomenal. Thank you for taking good care of me. Deon Bidorini2025-06-17Trustindex verifies that the original source of the review is Google. I have always loved this practice! Now so more than ever!! Yesterday I called with what I deemed an emergency situation. They fit me in within an hour and were able to calm my fears and ease my mind!! No better dental practice!!! Adelaida2025-04-23Trustindex verifies that the original source of the review is Google. My experiences have been great. They reduced my fear of dental procedures.